Same-Day Crowns
Do you have a damaged or decayed tooth? You likely want a fast solution to your dental concern.
We offer custom same-day crowns using revolutionary CEREC® technology that crafts a crown in as little as an hour.
Link Dental serving Centennial, CO, can restore your oral function and appearance in just one appointment.

Having a Dental Emergency? We Can Make Time for You
If you have a broken tooth or another dental emergency, our team can help, even if you're not currently our patient. We set aside time every day for emergencies and will try to fit you in for an appointment as soon as possible. We have a voicemail for emergencies, so call anytime and we will get back to you as soon as we can.
Same-Day Crowns: A Groundbreaking Alternative to Traditional Crowns
When receiving a traditional crown, you have to visit a dentist, allow them to make a mold of your teeth, and wait weeks as a dental lab makes your crown. Then, you have to schedule a second appointment to have your crown placed. When you want fast relief for a broken or decayed tooth, traditional crowns often aren't good enough.
A while back, we saw the need for a better solution, so an investment was made into CEREC technology for our dental office. CEREC machines use digital impressions of your teeth to design and manufacture a porcelain restoration in just one appointment, without sacrificing strength and durability. Your dentist in Centennial, CO, can create a custom crown that blends in seamlessly with your other teeth on the same day as your visit to our office.

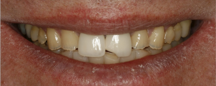
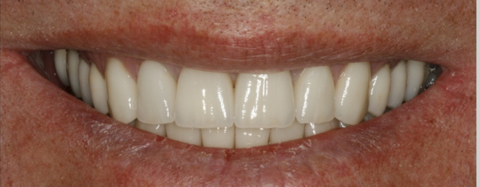
See What Dental Crowns Can Do A Real Patient Case
Cheri's Story: Kind and Prompt Treatment for a Dental Emergency
With Link Dental You're in Good Hands
Certified in Sedation
Dr. Thomas Reed is certified in sedation dentistry so your procedure will be comfortable, no matter what work is being done. If you need an extra level of comfort to get you through your appointment, please ask our dentist about the sedation options available to you.
Comfortable Location
Our Centennial office boasts a relaxing atmosphere and a gentle approach so patients feel at ease throughout treatment. We want each of our patients to feel like they're coming home when they step through our doors, and each of our team members is dedicated to a soothing experience.
Comprehensive Care
Our team can take care of your smile for life. Once we've restored your tooth with a dental crown, we invite you to keep coming to us for your care. We offer a range of general, restorative, and cosmetic dentistry services. No matter what you need, we have it!
Centennial Patients Love Our Team
Incredibly thorough and pleasant experience..and my smile looks great. They are always up to date on the newest and best treatment options!
View On GoogleThis place is amazing- everyone is super friendly and compassionate. I am asking myself why I waited so long to go in. I had no idea what a fantastic dentist was until I met the doctors! You all are superstars! Don't put your appointment off for one more day! This is the place!
View On GooglePaying for a Dental Crown
We understand that dental benefit programs are routinely included as part of an overall healthcare program, and our team will help you take advantage of any benefits that apply to your care without restricting treatment options. In addition, we offer a variety of other payment options:
- CareCredit®
- In-House Membership Plans
- Financing options
- Bitcoin
- Cash and check
- Major credit cards
The Same-Day Crown Procedure
With CEREC technology, we can remove damaged tissue from your tooth and restore it all in the same day.
More Love for Our Team
Jean & Mark are excellent and went above and beyond to fit me into their schedule for an issue that needed attention. Incredibly thorough and explained everything they would need to do throughout the treatment process. Highly recommend.
View On GoogleI was not a Link Dental patient when I cracked a molar while traveling abroad. I was referred to this office by a friend who was a long-time dental client of this office... Dr. Mark and his wonderful staff saw me before office hours on Monday, the day after my return, to fix my dental emergency. To this day I remain a long-time, satisfied client of Link Dental.
View On Google



